You are invited to our Grand Opening Event: Prizes, special offers, and more!
About Us
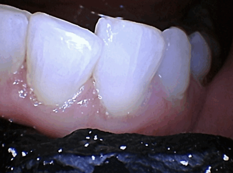
Before & Afters
This content may not be appropriate for all ages. Please continue at your own discretion.
You can begin your journey in just a few clicks—simply tell us a bit about your concerns and we’ll match you with a treatment.
Build My Smile Plan
"*" indicates required fields
New Patient?
Booking made easy and convenient. Let our client concierge team know how to get in touch to book your appointment.
By providing my email, mobile number, and clicking Submit, I consent to receive recurring automated marketing and professional messages from Kansas Family Dental at the contact methods provided. Message frequency may vary, and message & data rates may apply. Reply STOP to cancel or HELP for help. Consent is not a condition of purchase.
Δ
Visited Us Before?
Book Online